
Entenda o que é o perfil biofísico fetal (PBF), como é realizado, quando está indicado e por q...
05/11/2025
Ultrassom Morfológico de 1º Trimestre alterado? Descubra o que significa TN aumentada e as opções ...
05/11/2025
💓 O que é a cardiotocografia? A cardiotocografia (CTG) é um exame simples, não in...
05/11/2025
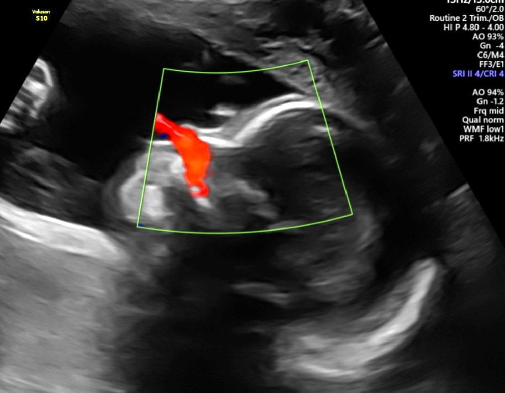
O ultrassom obstétrico com Doppler é um dos exames mais importantes para avaliar o bem-estar do beb...
04/11/2025
A fissura labiopalatina, também conhecida como fenda labial e/ou palatina, é uma das malf...
04/11/2025
🩺 Exame Morfológico de 1° Trimestre com Avaliação da Translucência Nucal: o primeiro olhar sob...
04/11/2025
A medicina fetal vive um momento de transformação profunda. Com o avanço da tecnologia e a chegada ...
04/11/2025
A histerossonossalpingografia é um exame ginecológico avançado utilizado para avaliar a permeabilid...
19/05/2025
Controlar a ovulação é essencial para mulheres que estão tentando engravidar ou que desejam entende...
19/05/2025
O ultrassom obstétrico com Doppler é um exame essencial para monitorar a saúde do bebê durante a ge...
14/03/2025